Ga naar de inhoud

Nieuw Maatsje: JOB - Duchesse de Hedwige

DUCHESSE DE HEDWIGE
Menu overslaan
DUCHESSE DE HEDWIGE
Menu overslaan
Seelân nest
Zeeuwse honden met Friese roots
een heel passende nestnaam.
Alle puppy's krijgen een Oud- Hollandse naam.
Positief dekadvies FAC:
NIKE      NHSB 3176477 SNUF NIKE DUCHESSE DE HEDWIGE
JOP        NHSB 3275197 JOP FAN DE MUDDEHOUNEN
Dit nest is een weloverwogen combinatie en de ouders zijn:
HD A, ED  vrij, CD  vrij.
Genetisch management op genetisch niveau is essentieel om de gezondheid van de genenpool op de lange termijn te behouden.
Alle pups krijgen Seelân als eerste naam, gevolgd door de roepnaam en daarna onze kennelnaam.





NHSB 3275197 JOP FAN DE MUDDEHOUNEN
NHSB 3055283 MERLIJN FAN IT BÛNTE LOK
NHSB 3098766 IETJE FAN DE MUDDEHOUNEN      

NHSB 3176477 SNUF NIKE DUCHESSE DE HEDWIGE (Roan)
NHSB 2836749  BAUKE V.'T VAERTSE HOEKSKE
NHSB 3057549  LUNE SNUF DUCHESSE DE HEDWIGE

13-01-2025 zijn de 8 puppy's geboren van Nike x Jop!  
4 teefjes en 4 reuen.
5 mooie zwart-witte puppy's + 3 zwartschimmel/roan  reuen.
dag 1: 253-365 gram.

Dracht
week 9: ( 57-63 dgn)
13 januari zijn de 8 puppy's geboren, 4 reuen en 4 teefjes.
12-15 januari..
Indien er een sterke temperatuur daling van 1-1.5 graad naar beneden is, gaat het beginnen...
week 8:( tm dag 56)
1 januari : 50ste dag, alles gaat wat langzamer, buikje groeit en groeit.
week 7:( tm dag 48)
2de Kerstdag dag 44. honger, honger, honger....
week 6:(36 tot 42 dagen)
dag 38: controle DA  
Nike haar buikje groeit sinds enkele dagen erg snel, ze kan weer alles eten. 25.1 kg
week 5:(29 tot 35 dagen)
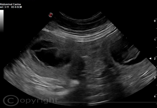
dag 29: echo: Yes, 5-6 mooie vruchtjes te zien op echo. 24.9 kg
ze eet haar eten maar half op, ze heeft gelukkig genoeg reserve.
Fruit zoals banaan vind ze nog altijd erg lekker.
week 4:(tot 28 dgn) in de ochtend en avond misselijk...
week 2: Nike is heel rustig en heeft veel aandacht nodig.


Dekking
11-11 het lukte bijna , toen besloten Jop komt een paar dagen logeren bij Nike.
12 november

eerst even uitslapen tot half 9 en dan ontbijt.
ja pas toen tijd voor iets anders  .... 12 minuten vast!



Progesteron
8 november 1ste test:al mooi gestegen nog 2-3 dagen wachten....
we weten dat dit bij Nike zeer snel stijgt.
normaal gaat Nike joelen als een wolf, om de reuen uit te nodigen in de buurt op haar piek dag.                                  
1 november is Nike loops geworden!



JOP: hele lieve rustige Zeeuws Friese reu.

Een hele lieve mooie, gezonde vrijer, misschien bruinverervend en lage COI, niet makkelijk te vinden.
We zijn samen op zoek gegaan naar die leuke Toffe vriend en die hebben we gevonden in Zeeland!

Nike : Bruin verervende Roan/ zwartschimmel.       vrij getest op alle ziektes via DNA(Embark test).
          o.a. Von Willebrands Disease, Type I (VWD): vrij !
zie hierboven: vacht roan Nike in de zomer.
Splinter( vader Nike), puppy Nike en mama Snuf
Terug naar de inhoud